Authors

  1. Lynn, Shari J. MSN, RN

Article Content

According to this report:

 

* The use of rituximab is associated with progressive multifocal leukoencephalopathy in patients treated with it for systemic lupus erythematosus.

 

 

The U.S. Food and Drug Administration (FDA) has issued an alert concerning rituximab (Rituxan), an antineoplastic agent and monoclonal antibody approved for the treatment of rheumatoid arthritis and non-Hodgkin lymphoma no longer responsive to other therapy. Marketed since 1997, rituximab exerts its therapeutic effect on the immune system by reducing the number of certain white blood cells, making it effective in the treatment of lymphoma and rheumatoid arthritis, but also increasing the susceptibility to infection.

 

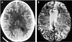
The recent FDA alert concerns a serious adverse effect of rituximab in patients with systemic lupus erythematosus-an unapproved, off-label use. Two patients developed progressive multifocal leukoencephalopathy, a fatal viral infection of the central nervous system caused by reactivation of a virus commonly present in most people and harmless except in the immunocompromised. (See Figure 1, above right.)

  
Figure 1 - Click to enlarge in new windowFigure 1. Progressive Multifocal Leukoencephalopathy

The prognosis in progressive multifocal leukoencephalopathy is poor because the disease can last for many months, and 80% of afflicted patients die of it within the first six months, some having suffered the adverse effect as late as one year after the last dose of rituximab. In addition, there already had been 23 cases of the disease confirmed in patients who were either receiving the drug or had formerly received it for the approved indication of treatment for lymphoid malignancies.

 

Clinicians should be both aware of the possibility of the occurrence of multifocal leukoencephalopathy in the populations described above and vigilant of the signs and symptoms of the disease--progressive weakness and changes in balance and coordination (clumsiness), vision, speech, and, sometimes, personality, as well as confusion. Nurses should give patients information on the possible serious adverse effect of rituximab.

 
 

U.S. Food and Drug Administration. FDA news: FDA warns of safety concern regarding Rituxan in new patient population. 2006 Dec 18. http://www.fda.gov/bbs/topics/NEWS/2006/New01532.html

 

National Institute of Neurological Disorders and Stroke. NINDS progressive multifocal leukoencephalopathy information page. 2007. http://www.ninds.nih.gov/disorders/pml/pml.htm.