Authors

  1. Cordoba-Fernandez, Antonio
  2. Vera-Gomez, Maria Luisa

Abstract

Brachymetatarsia is a malformation characterized by an abnormal reduction in the length of 1 or more metatarsal bones. It occurs because of early closure of the growth plate of the affected metatarsal. Generally, it is caused by a congenital disorder and it usually occurs bilaterally. With a greater prevalence in females, it most often affects the fourth metatarsal, followed by the first metatarsal. Surgical treatments proposed include using external mini-fixators or bone grafts in a single step to lengthen the metatarsal. In this review, 62 scientific articles about brachymetatarsia were analyzed with key demographic and epidemiological aspects of this pathology. The prevalence of bilateral brachymetatarsia was 47%, and the female to male ratio was 10.53:1. Both these findings appear to contradict the usual data reported for brachymetatarsia. A better understanding of this disorder will enable an appropriate therapeutic approach according to the psychological and social profile of affected individuals.

 

Article Content

Introduction

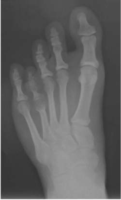
Brachymetatarsia, or hypoplastic metatarsal, is a rare condition characterized by an abnormally short metatarsal due to premature closure of the growth plate. According to the authors consulted, existing epidemiological data on the pathology are variable and its incidence is low, ranging between 0.02% and 0.05% (Jones, Pinegard, & Rincker, 2015; Urano & Kobayashi, 1978). Most cases of brachymetatarsia published in the literature correspond to cases of idiopathic congenital primary causes, although congenital cases associated with various diseases or syndromes have also been reported (Kim, Lee, Yoo, Kanq, & Suh, 2003). To a lesser extent, cases of brachymetatarsia, derived from trauma, tumors, infections, or iatrogenic conditions, have been reported (Kashuk, Hanft, Schabler, & Kopelman, 1991; Steedman & Peterson, 1992; Shim & Park, 2006). Existing studies coincide in highlighting a greater prevalence in females, although with a very varied relationship (Giannini, Faldini, Pagkrati, Miscione, & Luciani, 2010; Lee, Yang, Chung, Moon, & Jung, 2009; Trujillo Perez, Reina Bueno, Lafuente, & Munuera Martinez, 2007). Regarding the prevalence of bilaterality, there are also significant discrepancies, ranging between 36% and 72% (Barbier, Neretin, Journeau, & Popkov, 2015; Urano & Kobayashi, 1978). The fourth metatarsal was in all series the most affected (see Figures 1 and 2), followed by the first metatarsal.

  
Figure 1 - Click to enlarge in new windowFigure 1. Unilateral brachymetatarsia of the fourth metatarsal in a 28-year-old woman.
 
Figure 2 - Click to enlarge in new windowFigure 2. Dorsoplanter radiograph of the patient's left foot. An abnormally short fourth metatarsal can be observed.

The specific trigger that causes premature closure of the growth plate is unknown, although, currently, the most supported etiology appears to be related to the presence of genetic markers (Kawashima, Yamada, Ueda, & Harii, 1994). This hypothesis is supported by the fact that embryonic separation of the membrane between the second and third toes takes place last and that the fourth and the fifth metatarsals are also the last to begin development during the fetal stage. In general, deformity begins during the embryonic period and continues during development of the individual, causing the growth of the metatarsal to slow down during its entire morphogenesis. The pathology is often detected several years after birth and usually becomes evident from childhood until the age of fourteen, when the growth plate of metatarsal closes definitively (Hinrichsen et al., 1994). Incomplete syndactyly has been often associated with brachymetatarsia. The fact that the membrane between the second and third toes is usually the last to appear during fetal development, and the fourth and fifth metatarsals are the last to begin development, suggests that the mechanisms producing the two anomalies could be related (Munuera Martinez, Lafuente Sotillos, Dominguez Maldonado, Salcini Macias, & Martinez Camuna, 2004).

 

Clinical symptoms of brachymetatarsia may be varied and are conditioned by factors such as age, sex, and number of metatarsals affected in addition to whether there is a bilateral presentation. The common denominator of the deformity is that it turns out to be aesthetically unacceptable for most subjects who suffer from this. During puberty, and especially during adolescence, it is common for this to cause a distorted body image that at times may have a psychological impact. Adults often consult for pain (transfer metatarsalgia), skin irritation of the toe above the corresponding commissure with shoe wear, or difficulty walking (Barbier et al., 2015; Giannini et al., 2010).

 

Management of the pathology may be conservative or surgical. The latter has been more commonly used and consists of recovering the metatarsal parabola with the purpose of achieving an aesthetically acceptable foot while relieving metatarsalgia by transfer, as appropriate. The most commonly used surgical techniques were elongation with interposition of bone graft and sequential lengthening by means of callotasis using external fixators (Jones et al., 2015).

 

Authors increasingly highlight the importance of individually evaluating the emotional and psychological tolerance of patients for the different therapeutic options. Although brachymetatarsia is a rare clinical condition, this may affect the individual not only from a functional point of view but also from a psychological and social point of view. A personalized study of the individual from a general perspective may allow selecting the most suitable therapeutic option and the most appropriate surgical alternative according to available evidence and the subject's characteristics (Jones et al., 2015).

 

The present study is a critical review of the published data to record and evaluate the demographic data and incidence of brachymetatarsia to compare these data with often reported values. We believe that a descriptive analysis of the demographic, etiological, and morphofunctional aspects related to the pathology may allow identifying key aspects when planning correct treatment management according to the demographic pattern of the individuals affected.

 

Search Strategies

The literature related to brachymetatarsia was identified using three common databases: PubMed, CINAHL, and Scopus, as well as other health science database. A search of the published biomedical data was performed using "brachymetatarsia" as the key word. The inclusion criteria were studies in any language reporting on patients treated conservatively or surgically. The exclusion criteria were studies that described only cases of brachymetatarsia derived from disease processes or syndromes, those that described only the surgical techniques, or those that did not report on the surgical procedures performed on the patients. This search yielded 62 results. The selected studies were published from April 1979 to July 2016, and they all had most of the following variables: gender, age, laterality, affected metatarsal, etiology, reason for consultation, and treatment applied.

 

Brachymetatarsia Research Findings

The studies included in this review were generally poor in quality. Only two were comparative studies (Choi, Chung, Baek, Cho, & Chung, 1999; Lee et al., 2009), and the rest were case series or case reports (see the Appendix). From all the articles selected (N = 62), a total of 407 patients (690 feet) affected with brachymetatarsia were identified; of these, most of the cases were of congenital or idiopathic etiology. The average age of patients was 20.52 years, with a range between 9 and 53 years. The data collated regarding sex revealed a higher prevalence in females, with an average female to male ratio of 10.53:1. Regarding laterality, unilateral presentation was slightly more common. Of all the feet analyzed, in more than one third of the cases, the fourth metatarsal was the one affected, followed by the first metatarsal. When more than one metatarsal in the same foot was affected, the most common combination was the first and fourth metatarsals. Regarding the reason for consultation, almost half of the individuals consulted for cosmetic problems, followed closely by those who consulted for pain or difficulty walking. Of the treatments administered, surgery was by far the most commonly used. More than 95% of the cases were treated by means of single-stage lengthening with bone graft or callus distraction with external distracters (see Table 1).

  
Table 1 - Click to enlarge in new windowTable 1. Details of the Epidemiological Data of the Series or Case Reports

Discussion

The data regarding some of the variables analyzed were not available in all the articles reviewed. However, the data collected and subsequent analysis allowed to compile in-depth epidemiological and demographic aspects of major interest about the pathology.

 

Regarding the number of cases, it was observed that the oldest articles based their results on just one case. However, from the late 1990s, some authors began to publish case series that analyzed a higher number of patients, with an average of more than 10 patients per article, which allowed to compile a larger amount of data.

 

Regarding the etiology of the deformity, most cases corresponded to brachymetatarsia of congenital or idiopathic etiology. There were few cases of the pathology that were derived from syndromes or diseases, trauma, iatrogenic conditions, or infections.

 

Most individuals who consulted for the problem did so during adolescence or youth and always over the age of 9 years (no case of surgery in children under this age was collated). This could be explained by the fact that the growth plate of metatarsals closes definitively around the age of 14 years and also it is during adolescence when the existence of deformity often causes body image disorders. This is likely largely due to the psychological and emotional component entailed by the pathology and which is especially marked during adolescence. This does not mean that this is not visible at earlier ages, but in most cases, it is unusual that up until adolescence the pathology leads to the need to consult because of aesthetic or functional problems or both.

 

The data recorded according to the metatarsal affected concur with the information provided in this regard by different authors. All the studies of case series revealed that the fourth metatarsal was by far the most affected with 77.18% of the cases recorded, followed by the first metatarsal. However, the involvement of more than one metatarsal was rare and the most common combination was the first and fourth metatarsals.

 

The most interesting part of our review was the contradictory data between the results of our review and the results reported in the literature regarding the prevalence of bilaterality and male to female ratio. Regarding laterality, most authors estimated the prevalence of bilaterality above 70%, well above the bilaterality obtained in this review and more in line with recent reviews (Jones et al., 2015). Regarding the prevalence of the pathology according to sex, it was observed that although the pathology was considerably more prevalent in women, the estimated male to female ratio shown by the results of this review is approximately half of that reported by most studies (Urano & Kobayashi, 1978). Although, in principle, it is worth considering the possibility that the pathology could be related to genetic markers linked to sex, it cannot be ruled out that this high prevalence may be due, in part, to the fact that the deformity is commonly associated with a high component of abnormality of body image and the social rejection far removed from the standards of beauty established that may have led women to consult more frequently than men.

 

Regarding the treatment used, surgery was by far the most common option. Specifically, single-stage lengthening with a bone graft was the most commonly used treatment, followed by callus distraction. A recent review compared both treatments and concluded that single-stage lengthening with a bone graft was associated not only with fewer complications and faster healing times than callus distraction but also with lesser gains in length (Jones et al., 2015). Given that most patients with brachymetatarsia opt for surgery, healthcare professionals involved in managing these patients should individually recommend the best surgical option considering not only physical and demographic aspects but also psychological and social aspects.

 

The fact that some studies set out exclusion criteria to select the metatarsal affected, the age of patients or the kind of treatment provided may have caused some bias in some of the results obtained, which are some limitations of this review.

 

Nursing Implications

Given the psychoemotional component frequently associated with the deformity, orthopaedic nurses are essential when empathizing with patients with brachymetatarsia. Therefore, it is important to consider not only physical aspects associated with the pathology but also demographic factors such as age and gender in addition to social factors regarding the environment and profession, among others. Knowledge of the epidemiological factors linked to the pathology is key when establishing the most indicated therapeutic management in each case. However, it is important to perform a correct psychological evaluation of the individuals that allows identifying the presence of psychological distress and whether they may be candidates for surgery, which would allow providing them with the best surgical alternative. Orthopaedic nurses must be able to detect the existence of a body dysmorphic disorder associated with the pathology, for which they should recommend the patients to consult a psychiatrist before considering surgery and, if this is indicated, recommending the most suitable surgical procedure. Body dysmorphic disorder is a rare psychiatric condition defined by an obsession or preoccupation with a minor or nonexistent flaw in physical appearance that causes functional impairment or significant distress that is not explained by another psychological disorder. This disorder has been found to be up to 15 times more prevalent in young patients seeking plastic surgery. Patients with this disorder often have poor insight and frequently seek plastic surgery consultation over psychiatric consultation. Because of their habits, patients with body dysmorphic disorder often have broken social relationships, live alone, and avoid social situations where their perceived defect will be noticed.

 

Brachymetatarsia treatment must be focused not only on resolving the physical distress but also on handling the psychological aspects associated with the pathology. Nursing procedures should be aimed at improving aspects that enable accepting the deformity with patient education and social support and, in this case, providing counsel on all the beneficial surgical aspects to help this patient population.

 

References

 

Alter S. A., Feinman B., Rosen R. G. (1995). Chevron bone graft procedure for the correction of brachymetatarsia. The Journal of Foot and Ankle Surgery, 34(2), 200-205.

 

Baek G. H., Chung M. S. (1998). The treatment of congenital brachymetatarsia by one-stage lengthening. The Journal of Bone and Joint Surgery. British Volume, 80(6), 1040-1044.

 

Barbier D., Neretin A., Journeau P., Popkov D. (2015). Gradual metatarsal lengthening by external fixation, a new classification of complications and a stable technique to minimize severe complications. Foot & Ankle International, 36(11), 1369-1377. doi: [Context Link]

 

Bartolomei F. J. (1990). Surgical correction of brachymetatarsia. Journal of the American Podiatric Medical Association, 80(2), 76-82.

 

Berges Manfredi M. J., Suarez Mendez J. M., Gallart Ortega J., Valero Salas J. (2000). Braquimetatarsia y Braquimetapodia. A proposito de un caso. Revista Espanola de Podologia, 11(1), 59-68.

 

Blankenhorn B. D., Kerner P. J., DiGiovanni C. W. (2010). Clinical Tip: One stage lengthening of fourth brachymetatarsia using fibular autograft. Foot & Ankle International, 31(2), 175-178. doi:10.3113/fai.2010.0174

 

Boike A. M., Gerber M. R., Snyder A. J. (1993). Brachymetatarsia. Axial lengthening by using the callus distraction technique. Journal of the American Podiatric Medical Association, 83(7), 373-378.

 

Brown M. J., Yeoman T. F., Roberts S., Pillai A. (2012). Case report: A modified 1-stage technique for the treatment of brachymetatarsia. Foot and Ankle Specialist, 5(6), 389-393. doi:10.1177/1938640012463059

 

Choi I. H., Chung M. S., Baek G. H., Cho T. J., Chung C. Y. (1999). Metatarsal lengthening in congenital brachymetatarsia: One-stage lengthening versus lengthening by callotasis. Journal of Pediatric Orthopedics, 19(5), 660-664. [Context Link]

 

Cortes-Rodriguez R., Romano-Juarez A., Castaneda-Pichardo G., Tercero-Quintanilla G. (2009). Tratamiento quirurgico de pacientes con braquimetatarsia mediante elongacion osea con minifijador externo "RC-4". Archivos de Investigacion Materno Infantil, 1(2), 75-78.

 

D'Arrigo A., Arenas Planelles A., Eraso Lara I., Jimenez Sarmiento O. (2001). La braquimetatarsia. Presentacion de un caso. Revista Espanola de Cirugia Osteoarticular, 46(246), 69-72.

 

Desai A., Lidder S., Armitage A., Rajaratnam S., Skyrme A. (2013). Brachymetatarsia of the fourth metatarsal, lengthening scarf osteotomy with bone graft. Orthopedic Reviews, 5(3), 21. doi:10.4081/or.2013.e21

 

Ferrandez L., Yubero J., Usabiaga J., Ramos L. (1993). Congenital brachymetatarsia: Three cases. Foot & Ankle, 14(9), 529-533.

 

Fox I. M. (1998). Treatment of brachymetatarsia by the callus distraction method. The Journal of Foot and Ankle Surgery, 37(5), 391-395. doi:10.1016/s1067-2516(98)80047-1

 

Frankel J. P., Fleishman J. H. (1991). Correction of brachymetatarsia with transpositional metatarsal osteotomies. The Journal of Foot Surgery, 30(1), 19-25.

 

Froehlich V., Wuenschel M. (2014). A rare combination of brachymetatarsia and congenital hallux varus. Journal of the American Podiatric Medical Association, 104(1), 85-89. doi:10.7547/0003-0538-104.1.85

 

Giannini S., Faldini C., Pagkrati S., Miscione M. T., Luciani D. (2010). One-stage metatarsal lengthening by allograft interposition: A novel approach for congenital brachymetatarsia. Clinical Orthopaedics and Related Research, 468(7), 1933-1942. doi:10.1007/s11999-009-1212-0 [Context Link]

 

Gilbody J., Nayagam S. (2008). Lengthening of the first metatarsal through an arthrodesis site for treatment of brachymetatarsia: A case report. The Journal of Foot and Ankle Surgery, 47(6), 559-564. doi:10.1053/j.jfas.2008.08.003

 

Glickman S. H., Cornfield R. H. (1990). Surgical reconstruction of a congenital foot deformity: Hallux varus with brachymetatarsia of the first metatarsal. The Journal of Foot Surgery, 29(5), 499-503.

 

Goforth W., Overbeek T. (2001). Brachymetatarsia of the third and fourth metatarsals. Journal of the American Podiatric Medical Association, 91(7), 373-378. doi:10.7547/87507315-91-7-373

 

Guizar-Cuevas S., Mora-Rios F. G., Mejia-Rohenes L. C., Lopez-Marmolejo A., Cortes-Gomez J. (2010). Elongation with callotaxis for congenital brachymetatarsia. Acta Ortopedica Mexicana, 24(6), 395-399.

 

Haleem A. M., Mintz D. N., Rozbruch S. R. (2014). Metatarsophalangeal arthritis following fourth metatarsal lengthening treated with distraction arthroplasty: Case report. Foot & Ankle International, 35(10), 1075-1081. doi:10.1177/1071100714543648

 

Hamada M., Sakamoto Y., Nagasao T., Kishi K. (2016). Treatment of complications after distraction osteogenesis for brachymetatarsia of the fourth metatarsal. Plastic and Reconstructive Surgery Global Open, 4(7), 1-3.

 

Handelman R. B., Perlman M. D., Coleman W. B. (1986). Brachymetatarsia. A review of the literature and case report. Journal of the American Podiatric Medical Association, 76(7), 413-416.

 

Hinrichsen K. V., Jacob H. J., Jacob M., Brand-Saberi B., Christ B., Grim M. (1994). Principles of ontogenesis of leg and foot in man. Annals of Anatomy, 176(2), 121-130. [Context Link]

 

Hosny G. A., Ahmed A. S. (2016). Distraction osteogenesis of fourth brachymetatarsia. Foot and Ankle Surgery, 22(1), 12-16. doi:10.1016/j.fas.2015.03.009

 

Hosokawa K., Susuki T. (1987). Treatment of multiple brachymetatarsia: A case report. British Journal of Plastic Surgery, 40(4), 423-426.

 

Houshian S., Skov O., Weeth R. E. (2002). Correction of congenital brachymetatarsia by gradual callus distraction. Scandinavian Journal of Plastic and Reconstructive Surgery and Hand Surgery, 36(6), 373-375. doi:10.1080/028443102321096384

 

Hwang S. M., Song J. K., Kim H. T. (2012). Metatarsal lengthening by callotasis in adults with first brachymetatarsia. Foot & Ankle International, 33(12), 1103-1107. doi:10.3113/FAI.2012.1103

 

Jimenez A. L. (1979). Brachymetatarsia: A study in surgical planning. Journal of the American Podiatric Medical Association, 69(4), 245-251. doi:10.7547/87507315-69-4-245

 

Jones M. D., Pinegard D. M., Rincker S. A. (2015). Callus distraction versus single-stage lengthening with bone graft for treatment of brachymetatarsia: A systematic review. The Journal of Foot and Ankle Surgery, 54(5), 927-931. doi:10.1053/j.jfas.2015.02.013 [Context Link]

 

Kashuk K. B., Hanft J. R., Schabler J. A., Kopelman J. (1991). Alternative autogenous bone graft donor sites in brachymetatarsia reconstruction: A review of the literature with clinical presentations. The Journal of Foot Surgery, 30(3), 246-252. [Context Link]

 

Kawashima T., Yamada A., Ueda K., Harii K. (1994). Treatment of brachymetatarsia by callus distraction (callotasis). Annals of Plastic Surgery, 32(2), 191-199. [Context Link]

 

Kim H. T., Lee S. H., Yoo C. I., Kanq J. H., Suh J. T. (2003). The management of brachymetatarsia. The Journal of Bone and Join Surgery British Volume, 85(5), 683-690. [Context Link]

 

Kim J. S., Baek G. H., Chung M. S., Yoon P. W. (2004). Multiple congenital brachymetatarsia. A one-stage combined shortening and lengthening procedure without iliac bone graft. The Journal of Bone and Joint Surgery. British Volume, 86(7), 1013-1015. doi:10.1302/0301-620x.86b7.15255

 

Kline A. (2009). Brachymetatarsia: One-stage correction using a cadaver bone allograft. The Foot and Ankle Online Journal, 2(5), 1-10. doi:10.3827/faoj.2009.0205.0001

 

Lee K. B., Park H. W., Chung J. Y., Moon E. S., Jung S. T., Seon J. K. (2010). Comparison of the outcomes of distraction osteogenesis for first and fourth brachymetatarsia. The Journal of Bone and Joint Surgery. American Volume, 92(16), 2709-2718. doi:10.2106/jbjs.i.00338

 

Lee K. B., Yang H. K., Chung J. Y., Moon E. S., Jung S. T. (2009). How to avoid complications of distraction osteogenesis for first brachymetatarsia. Acta Orthopaedica, 80(2), 220-225. doi:10.3109/17453670902930040 [Context Link]

 

Lee W. C., Suh J. S., Moon J. S., Kim J. Y. (2009). Treatment of brachymetatarsia of the first and fourth ray in adults. Foot & Ankle International, 30(10), 981-985. doi:10.3113/FAI.2009.0981

 

Lee W. C., Yoo J. H., Moon J. S. (2009). Lengthening of fourth brachymetatarsia by three different surgical techniques. The Journal of Bone and Joint Surgery. British Volume, 91(11), 1472-1477. doi:10.1302/0301-620X.91B11.22169 [Context Link]

 

Marcinko D. E., Rappaport M. J., Gordon S. (1984). Post-traumatic brachymetatarsia. The Journal of Foot Surgery, 23(6), 451-453.

 

Masada K., Fujita S., Fuji T., Ohno H. (1999). Complications following metatarsal lengthening by callus distraction for brachymetatarsia. Journal of Pediatric Orthopaedics, 19(3), 394-397. doi:10.1097/01241398-199905000-00021

 

Masuda T., Matoh N., Nakajima T., Tomi M., Ohba K. (1995). Treatment of brachymetatarsia using a semicircular lengthener. 1-3 years results in 6 patients. Acta Orthopaedica Scandinavica, 66(1), 43-46.

 

McGlamry E. D., Fenton C. F. (1983). Brachymetatarsia. A case report. Journal of the American Podiatric Medical Association, 73(2), 75-78. doi:10.7547/87507315-73-2-75

 

Montero-Quijano M., Mora-Rios F. G., Mejia-Rohenes C., Lopez-Marmolejo A., Tamayo-Pacho F., Antonio-Romero C. E. (2015). Comparative study of the management of congenital brachymetatarsia with elongation with callotaxis. Acta Ortopedica Mexicana, 29(2), 77-81. doi:10.1097/GOX.0000000000000836

 

Munuera Martinez P., Lafuente Sotillos G., Dominguez Maldonado G., Salcini Macias J. L., Martinez Camuna L. (2004). Morphofunctional study of brachymetatarsia of the fourth metatarsal. Journal of the American Podiatric Medical Association, 94(4), 347-352. [Context Link]

 

Oh C. W., Satish B. R., Lee S. T., Song H. R. (2004). Complications of distraction osteogenesis in short first metatarsals. Journal of Pediatrics Orthopedics, 24(6), 711-715.

 

Page J. C., Dockery G. L., Vance C. E. (1983). Brachymetatarsia with brachymesodactily. The Journal of Foot Surgery, 22(2), 104-107.

 

Remon Davila X. J., Pena Marrero L., Lopez Diaz J. L., Alvarez Cambas R., Mirandez Rodrigo H., Rodriguez Rodriguez A. (2008). Tratamiento de la braquimetatarsia mediante elongacion osea con minifijador externo RALCA. Revista Cubana de Ortopedia y Traumatologia, 22(2), 1-8.

 

Robinson J. F., Ouzounian T. J. (1998). Brachymetatarsia: Congenitally short third and fourth metatarsals treated by distraction lengthening-A case report and literature summary. Foot & Ankle International, 19(10), 713-718.

 

Rock G. D., Gaspari C., Mancuso J. E. (1993). Brachymetatarsia with the use of digital arthroplastic bone. The Journal of Foot and Ankle Surgery, 32(5), 499-504.

 

Scher D. M., Blyakher A., Krantzow M. (2010). A modified surgical technique for lengthening of a metatarsal using an external fixator. HSS Journal: The Musculoskeletal Journal of Hospital for Special Surgery, 6(2), 235-239. doi:10.1007/s11420-010-9160-5

 

Shim J., Park S. (2006). Treatment of brachymetatarsia by distraction osteogenesis. Journal of Pediatric Orthopaedics, 26(2), 250-254. doi:10.1097/01.bpo.0000214922.18186.06 [Context Link]

 

Smolle E., Scheipl S., Leithner A., Radl R. (2015). Management of congenital fourth brachymetatarsia by additive autologous lengthening osteotomy (AALO): A case series. Foot & Ankle International, 36(3), 325-329. doi:10.1177/1071100714557520

 

Solomon M. G., Blacklidge D. K. (1995). Brachymetatarsia. Case report and surgical considerations. Journal of the American Podiatric Medical Association, 85(11), 685-689.

 

Song H., Oh C., Kyung H., Kim S., Guille J., Lee S., Kim P. (2003). Fourth brachymetatarsia treated with distraction osteogenesis. Foot & Ankle International, 24(9), 706-711. doi:10.1177/107110070302400910

 

Steedman J. T., Peterson H. A. (1992). Brachymetatarsia of the first metatarsal treated by surgical lengthening. Journal of Pediatric Orthopedics, 12(6), 780-785. [Context Link]

 

Tomic S., Krajcinovic O., Dakic N. (2000). Use of Ilizarov mini-fixator in the treatment of congenital brachymetatarsia. Revue de Chirugie Orthopedique et Reparatrice de L Appareil Motor, 86(2), 204-208.

 

Trujillo Perez P., Reina Bueno M., Lafuente G., Munuera Martinez P. V. (2007). Tratamiento Ortopodologico de las Sobrecargas Asociadas a la Braquimetatarsia del IV Metatarsiano. Revista Espanola de Podologia, 23(4), 168-170. [Context Link]

 

Urano Y., Kobayashi A. (1978). Bone-lengthening for shortness of the fourth toe. The Journal of Bone and Joint Surgery. American Volume, 60(1), 91-93. [Context Link]

 

Wilusz P. M., Van P., Pupp G. R. (2007). Complications associated with distraction osteogenesis for the correction of brachymetatarsia: A review of five procedures. Journal of the American Podiatric Medical Association, 97(3), 189-194.

 

Wingenfeld C., Arbab D., Abbara-Czardybon M. (2013). Treatment options for brachymetatarsia. Orthopade, 42(1), 30-37. doi:10.1007/s00132-012-1987-7

 

Yamada N., Yasuda Y., Hashimoto N., Iwashiro H., Uchinuma I. (2005). Use of internal callus distraction in the treatment of congenital brachymetatarsia. British Journal of Plastic Surgery, 58(7), 1014-1019.

 

For additional continuing nursing education activities on orthopaedic topics, go to http://nursingcenter.com/ce.

[Context Link]