Keywords

astrocytoma, brain tumor, isocitrate dehydrogenase, MRI, seizure

 

Authors

  1. Lukas, Rimas V.

Abstract

ABSTRACT: The case of a 43-year-old woman with new-onset seizures is presented within the context of a continuing education quiz. Details regarding the underlying etiology and contemporary advances in the literature are referenced.

 

Article Content

Case Presentation

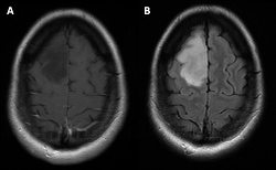
A 43-year-old otherwise healthy woman develops new-onset stereotyped convulsive activity of the left face and arm. The episodes last approximately 30 seconds and resolve without intervention. She is afebrile and has no other signs of infection. There is no preceding history of trauma. Her neurological examination is unremarkable. There was no evidence of intracranial hemorrhage on computed tomography. Magnetic resonance imaging reveals a large right frontal area of increased signal on fluid-attenuated inversion recovery (FLAIR), which does not enhance on postcontrast imaging (Fig 1). She undergoes craniotomy with gross total resection of the lesion. The pathology reveals increased cellularity, abnormal nuclei, mitoses, and a lack of 1p19q co-deletion in the abnormal cells. There is no inflammatory infiltrate present. Endothelial proliferation and necrosis are also not present.

  
Figure 1 - Click to enlarge in new windowFIGURE 1. Axial magnetic resonance images of (A) T1 postcontrast sequences and (B) fluid-attenuated inversion recovery

Questions

 

1. The most likely diagnosis is:

 

a. Tumefactive multiple sclerosis

 

b. Oligodendroglioma

 

c. Anaplastic astrocytoma

 

d. Glioblastoma

 

2. Presence of mutation of an isocitrate dehydrogenase (IDH) gene in the tumor confers the following:

 

a. A better prognosis with regard to survival

 

b. A worse prognosis with regard to survival

 

c. An improved response to chemotherapy

 

d. Confirmation that this is an inherited disorder

 

3. Isocitrate dehydrogenase mutation in gliomas is associated with:

 

a. A lower likelihood of preoperative seizures and a lower likelihood of venous thrombosis

 

b. A higher likelihood of preoperative seizures and a lower likelihood of venous thrombosis

 

c. A lower likelihood of preoperative seizures and a higher likelihood of venous thrombosis

 

d. A higher likelihood of preoperative seizures and a higher likelihood of venous thrombosis

 

4. The tumor location most often associated with the highest incidence of seizures is:

 

a. Frontal lobe

 

b. Temporal lobe

 

c. Parietal lobe

 

d. Cerebellum

 

5. The management of the tumor described previously after surgery would most likely involve:

 

a. Observation

 

b. The anti-VEGF antibody bevacizumab

 

c. Radiation with temozolomide chemotherapy

 

d. Tumor treating fields

 

Answers

 

1. d. Anaplastic astrocytoma. The lack of enhancement on magnetic resonance imaging decreases the likelihood of answers a and d. In both tumefactive multiple sclerosis and glioblastoma, the most frequently encountered pattern of enhancement is a heterogenous picture with predominantly subcortical involvement. Both clinical entities often lack a distinct border between enhancing abnormality and normal brain parenchyma. Grade 2 oligodendrogliomas (option b) often lack enhancement. Anaplastic astrocytomas (option c) may or may not enhance. Lack of inflammatory cells makes option a less likely. The pathology is consistent with tumor, specifically an infiltrating glioma. 1p19q co-deletion would be necessary for a diagnosis of oligodendroglioma. The co-deletion of the short arm of chromosome 1 and the long arm of chromosome 19 has been long known to be a feature of oligodendrogliomas. It is now included as a defining feature of oligodendrogliomas in the most recent update of the World Health Organization classification system.1 Either endothelial proliferation or necrosis would be necessary for a diagnosis of glioblastoma. The presence of mitoses qualifies the tumor as anaplastic (grade III). Isocitrate dehydrogenase mutation is a somatic mutation (and not a germline mutation) in the overwhelming majority of brain tumors.

 

2. a. Presence or absence of IDH mutation divides infiltrating astrocytomas into 2 distinct groups with markedly better outcomes in patients with tumors harboring IDH mutations. Inclusion of the IDH mutational status is now formalized in the World Health Organization classification system.1 Isocitrate dehydrogenase is found to be mutated in 73% of anaplastic astrocytomas and 90% of grade II astrocytomas but only a more limited number (~10%) of glioblastomas (grade IV).1,2 Those glioblastomas that have IDH mutations are deemed to have progressed from lower-grade astrocytomas. In addition to the presence of 1p19q co-deletion, the presence of IDH mutation is required for a diagnosis of oligodendroglioma.1

 

3. b. Patients with IDH-mutated gliomas have a higher likelihood of seizures compared with their nonmutated counterparts. Preoperative seizures are detected in 18% to 34% of patients with IDH wild type (nonmutated) infiltrating gliomas but up to 59% to 74% of patients with IDH-mutated infiltrating gliomas.3 They also have a lower likelihood of venous thromboembolism.4

 

4. b. The temporal lobe is deemed to be the most epileptogenic region of the brain.5 Infratentorial tumors located in the cerebellum (option d), for example, would be expected to have a very low incidence of seizures.

 

5. c. Surgery followed by fractionated radiation therapy with concomitant and adjuvant temozolomide would be most frequently used.6,7 Bevacizumab is used in recurrent glioblastoma. Tumor treating fields consist of arrays directly applied to the scalp, which create electrical fields for the treatment of newly diagnosed and recurrent glioblastoma.

 

References

 

1. Louis DN, Perry A, Reifenberger G, et al. The 2016 World Health Organization classification of tumors of the central nervous system: a summary. Acta Neuropathol. 2016;131(6):803-820. [Context Link]

 

2. Yan H, Parsons DW, Jin G, et al. IDH1 and IDH2 mutations in gliomas. N Engl J Med. 2009;360(8):765-773. [Context Link]

 

3. Chen H, Judkins J, Thomas C, et al. Mutant IDH1 and seizures in patients with glioma. Neurology. 2017;88(19):1805-1813. [Context Link]

 

4. Unruh D, Schwarze SR, Khoury L, et al. Mutant IDH1 and thrombosis in gliomas. Acta Neuropathol. 2016;132(6):917-930. [Context Link]

 

5. Englot DJ, Chang EF, Vecht CJ. Epilepsy and brain tumors. Handb Clin Neurol. 2016;134:267-285. [Context Link]

 

6. Lukas RV, Mrugala MM. Pivotal therapeutic trials for infiltrating gliomas and how they affect clinical practice. Neuro Oncol Practice. 2017;4(4):209-219. [Context Link]

 

7. Van den Bent MJ, Baumert B, Erridge SC, et al. Interim results from the CATNON trial (EORTC study 26053-22054) of treatment of concurrent and adjuvant temozolomide for 1p/19q non-codeleted anaplastic glioma: a phase 3, randomized open label intergroup study. Lancet Oncol. 2017;390(10103):1645-1653. [Context Link]