Authors

  1. Graham, Patrick

Article Content

Introduction

Osteochondral defects (OCDs), often used interchangeably with osteochondritis dissecans in the juvenile population, are focal areas of articular cartilage wear/damage resulting in a loss of cartilage and inflammation of the adjacent subchondral bone (Juneau et al., 2016; Modarresi & Jude, 2015; Wheeless, 2012). The most commonly affected joint is the knee, with the majority of lesions located in the femoral condyle and/or patellofemoral articulation (Wheeless, 2012). The exact incidence and prevalence within the general population are unknown but have been reported as high as 62% in those patients requiring arthroscopic intervention for knee pain (Flanigan, Harris, Trinh, Siston, & Brophy, 2010). Although the natural history and progression to a symptomatic OCD are not fully understood, they are typically explained by repetitive micro-trauma, accounting for chronic wear of cartilage, or as the results of an acute insult, usually a rotational force in regard to knee pathology (Juneau et al., 2016; Kocher, Tucker, Ganley, & Flynn, 2006). Here is presented two cases of symptomatic OCDs of the knee with associated imaging.

 

Case Presentation

Case 1

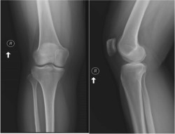
The first case was that of a 30-year-old woman who presented with 2 weeks of persistent right lateral knee pain after running. There was no specific injury. She did note that she had not run for several months preceding this and went out for about 4 miles. The knee was sore and aching at the time, but she figured it was simply related to her previous inactivity. There was mild swelling later that same evening. She treated the knee with rest, ice, and use of a nonsteroidal anti-inflammatory drug (NSAID) but noted only minimal improvement over the coming days. She presented to urgent care where radiographs were obtained and read as "normal" (see Figure 1). She was instructed on continued conservative management and to follow up with orthopaedics.

  
Figure 1 - Click to enlarge in new windowFigure 1. Anteroposterior and lateral views of the right knee. No evident fracture, dislocation, or other osseous abnormality to explain patient's symptoms.

Upon presentation, she was an alert, oriented, affect-appropriate female in no apparent distress. She ambulated with an antalgic gait and was not using an assistive device. There was no gross deformity, abnormal warmth, or discoloration about the knee. A trace effusion was appreciated, with noted tenderness to palpation of the lateral joint line. Range of motion was smooth and symmetrical, with noted lateral discomfort at end ranges. Stable ligamentous testing and equal strength were noted. She was found to be distally neurovascularly intact. She displayed positive bounce home, McMurray's, Thessaly's, and Apley's compression tests.

 

With physical examination findings concerning for internal derangement of the knee, it was recommended that she undergo MRI (magnetic resonance imaging) to elucidate underlying pathology (Modarresi & Jude, 2015). The MRI was significant for an OCD of the lateral femoral condyle (see Figure 2).

  
Figure 2 - Click to enlarge in new windowFigure 2. Sagittal and coronal T1- and T2-weighted images (respectively). Ellipse and arrows highlighting osteochondral defect with underlying bony edema.

Case 2

The second case was that of a 58-year-old man who presented with about a month of worsening left anterior knee pain. He did not recall any injury or incident. He noted a history of osteoarthritis, intermittent "flares" related to this, but had never previously experienced symptoms of this severity. He described an aching and throbbing pain of the knee. Symptoms aggravated with weight-bearing activities such as walking and especially stairs. He also noted a throbbing pain when seated with knees flexed as with riding in the car. Pain was overall better at rest when he was able to straighten the leg. He noted improvement, but not resolution of symptoms, with the use of ice, NSAID, and tramadol.

 

Upon presentation, he was as an alert, oriented, affect-appropriate male in no apparent distress. He ambulated with an antalgic gait, using a cane and wearing a knee sleeve. There was no gross deformity, discoloration, or abnormal warmth about the knee. He had a mild effusion. He noted tenderness about the patella and a positive patellar grind. Range of motion was limited by pain, tolerating 0[degrees]-100[degrees] of motion, with reported anterior pain on end ranges. There was no ligamentous laxity. He displayed positive bounce home, patellar grind, patellar tilt, and Clarke's tests.

 

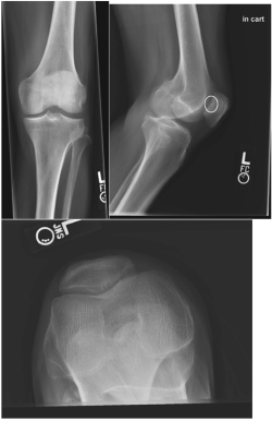
Radiographs, including anteroposterior, lateral, and sunrise views, were obtained and evident for a focal lucency of the posterior patella (see Figure 3). With this finding, it was recommended the patient to undergo MRI to confirm the presence of an OCD (see Figure 4), which was evident on that study.

  
Figure 3 - Click to enlarge in new windowFigure 3. Anteroposterior, lateral, and sunrise views of the left knee. On sunrise, note the lucency of posterior patella (ellipse), which is concerning for an osteochondral defect.
 
Figure 4 - Click to enlarge in new windowFigure 4. Sagittal T2- and T1-weighted images as well as axial T2-weighted images (respectively). Ellipse about osteochondral defect with underlying bony edema.

Management and Discussion

Early recognition of symptoms and proper diagnosis are key to successful intervention that provides optimal outcomes (Kocher et al., 2006). Management of OCDs can be categorized as conservative or surgical.

 

Conservative management includes activity modification, use of NSAIDs, pain medications such at Tylenol (acetaminophen) or opioids (reserved for severe cases), ice, bracing, referral to physical therapy, and intra-articular steroid injections (Kocher et al., 2006; Modarresi & Jude, 2015; Wheeless, 2012). One must use caution with steroid injections in patients with acute injury, noting a risk of further damage to subchondral bone and potential for fracture (Wheeless, 2012). The goals of conservative management are to mitigate symptoms of pain and swelling, restore range of motion, and address underlying biomechanical issues that contribute to the presence of OCDs, for example, patellar tracking exercises (Juneau et al., 2016).

 

In discussing options for surgical intervention, the advanced practice provider should understand there are multiple options for intervention based on the location and size of the OCD, as well as patient-specific factors such as age, activity level, body mass index, and presence of osteoarthritis (Cain & Clancy, 2001; Juneau et al., 2016). Options for surgical intervention include debridement, drilling, microfracture, abrasion chondroplasty, mosaicplasty, and allograft or autograft transplantation (Cain & Clancy, 2001; Gracitelli, Moraes, Franciozi, Luzo, & Belloti, 2016; Juneau et al., 2016; Millington, Shah, Dahm, Levy, & Stuart, 2010).

 

Current review of literature indicates there is no single intervention that can be generally recommended as superior for the treatment of symptomatic OCDs of the knee (Devitt, Bell, Webster, Feller, & Whitehead, 2017; Gracitelli et al., 2016; Millington et al., 2010). Optimal surgical intervention should treat the OCD as well as prevent early onset, or the progression of already present, osteoarthritis (Versier & Dubrana, 2011). Further research, optimally with randomized control trials of these various surgical interventions, is needed to define the best potential surgical intervention for the treatment of isolated OCDs (Devitt et al., 2017; Gracitelli et al., 2016; Millington et al., 2010).

 

References

 

Cain E. L., Clancy W. G. (2001). Treatment algorithm for osteochondral injuries of the knee. Clinics in Sports Medicine, 20(2), 321-342. [Context Link]

 

Devitt B. M., Bell S. W., Webster K. E., Feller J. A., Whitehead T. S. (2017). Surgical treatments of cartilage defects of the knee: Systematic review of randomized controlled trials. The Knee. doi:10.1016/j.knee.2016.12.002 [Context Link]

 

Flanigan D. C., Harris J. D., Trinh T. Q., Siston R. A., Brophy R. H. (2010). Prevalence of chondral defects in athlete's knees: A systemic review. Medicine and Science in Sports and Exercise, 42(10), 1795-1801. [Context Link]

 

Gracitelli G. C., Moraes V. Y., Franciozi C. E., Luzo M. V., Belloti J. C. (2016). Surgical intervention (microfracture, drilling, mosaicplasty, and allograft transplantation) for treating isolated cartilage defects of the knee in adults. The Cochrane Database of Systematic Reviews, 9, CD010675. [Context Link]

 

Juneau C., Paine R., Chicas E., Gardner E., Bailey L., McDermott J. (2016). Current concepts in the treatment of patellofemoral osteochondritis dissecans. International Journal of Sports Physical Therapy, 11(6), 903-925. [Context Link]

 

Kocher M. S., Tucker R., Ganley T. J., Flynn J. M. (2006). Management of osteochondritis dissecans of the knee: Current concepts review. The American Journal of Sports Medicine, 34(7), 1181-1191. [Context Link]

 

Millington K. L., Shah J. P., Dahm D. L., Levy B. A., Stuart M. J. (2010). Bioabsorbable fixation of unstable osteochondritis dissecans lesions. The American Journal of Sports Medicine, 38(10), 2065-2070. [Context Link]

 

Modarresi S., Jude C. M. (2015). Radiologic evaluation of the acutely painful knee in adults. UpToDate. Retrieved from https://http://www.uptodate.com/contents/radiologic-evaluation-of-the-acutely-painful-knee-in-adults [Context Link]

 

Versier G., Dubrana F. (2011). Treatment of knee cartilage defect in 2010. Orthopedic & Traumatology, Surgery & Research, 97(8), 140-153. [Context Link]

 

Wheeless C. (2012). Chondral and osteochondral injuries of the knee. In Wheeless' textbook of orthopaedics. Retrieved from http://http://www.wheelessonline.com/ortho/chondral_and_osteochondral_injuries_of_the_knee [Context Link]