Authors

  1. Graham, Patrick

Article Content

Introduction

The calcaneus is the most commonly fractured tarsal bone, representing 60% of all tarsal fractures in adults (Hatch & Dean, 2015). The reported annual incidence of calcaneal fractures is 11.5/100,000, with 72% of these fractures resulting from a fall (Hatch & Dean, 2015). Of these, anterior process fractures are often misdiagnosed as ankle sprains (Roesen & Kanat, 1993). Clinical presentation of subtle fractures can be similar to that of ankle sprains, and these fractures are frequently missed on initial examination (Judd & Kim, 2002). Accurate diagnosis and timeliness of appropriate intervention are essential for optimal patient outcomes. Improper diagnosis can lead to chronic ankle pain and swelling, because of nonunion of the fracture, ultimately resulting in the need for surgical management (Lui, 2011).

 

Clinical Presentation

A 39-year-old woman, at 32 weeks' gestation, presented to orthopaedic clinic approximately 7 weeks after injury to the right ankle. The mechanism was reported as a fall down several steps of an escalator. She described this as a forceful inversion of the ankle with plantarflexion, causing compression of the forefoot. As discussed in Wheeless' Textbook of Orthopaedics (2012), this is the most common mechanism of injury to result in anterior process fractures of the calcaneus. She was evaluated in the emergency department but notes that the majority of attention was given to her unborn child. In the emergency department, she was diagnosed with an ankle sprain, a common misdiagnosis (Berkowitz & Kim, 2005). The patient was instructed on conservative management (rest, icing, compression, elevation) and started physical therapy the next week. She noted initial improvement but plateaued in therapy after the first 3 weeks. She was frustrated by this lack of improvement and so presented to this orthopaedic nurse practitioner for further evaluation.

 

Upon presentation, she described continued swelling of the ankle, only minimally improved with rest, elevation, and icing. She had been wearing a neoprene ankle support with minimal relief and reported feeling as though this support actually made the swelling worse. She described aching pain of the anterior and lateral ankle, worse with weight-bearing activities. The pain was noted to be moderate, sometimes severe, with weight-bearing activities. The pain was improved, but not completely resolved, with rest. She had been taking acetaminophen (Tylenol) three times daily with minimal improvement.

 

Physical examination revealed an alert, oriented, affect-appropriate female in no apparent distress. Antalgic gait, wearing neoprene ankle support. She was not using any other assistive device. There was no gross deformity or discoloration. Moderate swelling of the ankle. Tenderness to palpation anterior and inferior to the lateral malleolus (area of sinus tarsi) that is a common finding with anterior process fractures (Wheeless, 2012). Painful non-weight-bearing active range of motion. Anterior and lateral pain was reported with resisted ankle motion. Laxity was noted with anterior drawer testing as well as a positive talar tilt.

 

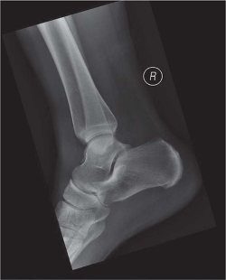
Radiographic evaluation included anteroposterior, lateral, and mortise with a gravity stress view of the ankle. This revealed an anterior process fracture of the calcaneus (see Figure 1) as well as widening of the medial clear space, consistent with ligamentous injury (see Figure 2). Given this, as well as noted ligamentous laxity on examination, a magnetic resonance imaging (MRI) of the ankle was obtained. The MRI revealed the known anterior process fracture without significant displacement, bone contusions throughout the midfoot, split tear of the peroneus brevis, and partial tear of the anterior talofibular ligament. These associated soft tissue findings are commonly reported with anterior process fractures (Ouellette, Salamipour, Thomas, & Kassarijian, 2013).

  
Figure 1 - Click to enlarge in new windowFigure 1. Note fracture of the anterior process of calcaneus, minimally displaced.
 
Figure 2 - Click to enlarge in new windowFigure 2. Note medial clear space widening on the gravity stress view (right).

Management

The majority of anterior process fractures of the calcaneus can be successfully treated with protected weight bearing in a short leg cast or walking boot immobilization for 4-6 weeks (Berkowitz & Kim, 2005; Lui, 2011). The patient was fitted for a walking boot and provided crutches with return demonstration of proper use. Instructions were also given on rest, elevation, and icing to better manage associated pain and swelling. Given her concurrent pregnancy, acetaminophen was the medication of choice for pain management.

 

After 4 weeks, the patient was transitioned to a lace up ankle brace and restarted physical therapy. She was restricted to sedentary duty at work. Over the next 3 months, her symptoms gradually improved and she was able to regain function at a reported level of 85%. Unfortunately, she had continued symptoms with prolonged weight bearing, ambulation on uneven surfaces, and was not able to return to activities any more strenuous than walking. With this, she was referred to an orthopaedic foot/ankle surgeon but opted for continued nonoperative management.

 

Discussion

Isolated fractures of the anterior process of the calcaneus are rare and often initially overlooked injuries of the foot (Ochman, Evers, & Raschke, 2013). Nonoperative management with protected weight bearing and immobilization is frequently successful if the fracture is correctly diagnosed at the outset (Berkowitz & Kim, 2005; Lui, 2011). One must give consideration to associated ligamentous injuries, especially injury to the anterior talofibular ligament, as this is commonly the case with fractures of the calcaneus (Petrover, Schweitzer, & Laredo, 2007). Larger fracture fragments are commonly associated with continued symptoms and best treated with open reduction and internal fixation (Lui, 2011). Delays in appropriate diagnosis and treatment, as is noted in this case study, can ultimately result in long-term disability, continued ankle symptoms, and the need for surgery (Judd & Kim, 2002; Lui, 2011). Advanced imaging, either by MRI or by computed tomography, is reasonable if there is suspicion for anterior process fracture of the calcaneus so as not to misdiagnose this pathology (Ochman, Evers, & Raschke, 2013). This case study highlights the importance of a thorough understanding of anatomy, proper clinical evaluation, and review of pertinent imaging studies to make the appropriate diagnosis acutely.

 

References

 

Berkowitz M., Kim D. (2005). Process and tubercle fractures of the hindfoot. Journal of the American Academy of Orthopedic Surgeons, 13(8), 492-502. [Context Link]

 

Hatch R., Dean C. (2015). Calcaneus fractures. UpToDate. Retrieved from http://www.uptodate.com/contents/calcaneus-fractures[Context Link]

 

Judd D., Kim D. (2002). Foot fractures frequently misdiagnosed as ankle sprains. American Family Physician, 66(5), 785-794. [Context Link]

 

Lui T. H. (2011). Endoscopic excision of symptomatic nonunion of anterior calcaneal process. Journal of Foot and Ankle Surgery, 50(4), 476-479. [Context Link]

 

Ochman S., Evers J., Raschke M. (2013). [Fractures of the anterior process of the calcaneus]. Operative Orthopadie und Traumatologie, 25(6), 579-591. [Context Link]

 

Ouellette H., Salamipour H., Thomas B., Kassarijian A., Torriani M. (2006). Incidence and MR imaging features of fractures of the anterior process of calcaneus in a consecutive patient population with ankle and foot symptoms. Skeletal Radiology, 35(11), 833-837.

 

Petrover D., Schweitzer M., Laredo J. (2007). Anterior process calcaneal fractures: A systematic evaluation of associated conditions. Skeletal Radiology, 36(7), 627-632. [Context Link]

 

Roosen H., Kanat I. (1993). Anterior process fracture of the calcaneus. Journal of Foot and Ankle Surgery, 32(4), 424-429. [Context Link]

 

Wheeless C. (2012). Fractures of the anterior process of the calcaneus. Wheeless' Textbook of Orthopaedics. Retrieved from http://www.wheelessonline.com/ortho/frx_of_the_anterior_calcaneal_process[Context Link]