Authors

  1. Pezzotti, William MSN, RN, ACNP-BC, CEN

Article Content

CHEST X-RAYS (CXRs) are one of the oldest noninvasive methods for identifying abnormalities in the chest. Even though healthcare providers prescribe CXRs and interpret the results, nurses are often the first to read the radiologist's report and provide the interpretation to the attending physician or a designate.1 In many hospital systems across the United States, nurses who work in the ICU or ED routinely implement specific standing orders, including obtaining a CXR for an unexpected issue such as chest pain, respiratory distress, unexplained hypoxemia, or unequal breath sounds.1 This article reviews how to recognize basic normal anatomy and life-threatening abnormalities on a CXR.

  
Figure. No caption a... - Click to enlarge in new windowFigure. No caption available.

Understanding CXRs

X-rays are short wavelengths of electromagnetic radiation that penetrate matter.2 They're basically photographs, but instead of light they use radiation to provide contrast. The amount of radiation that X-rays produce is very small (0.2 millisieverts, or mSv; this unit belongs to the same family as the liter and kilogram) and cause only 0.00001% of fatal cancers in the United States.3,4

 

Evaluating a CXR is a skill that requires careful observation and a good understanding of chest anatomy.4 (See Structures of the lung.) The technique used to obtain the CXR determines its overall quality.

 

Two of the most common views used in the acute care setting are posteroanterior (PA) and anteroposterior (AP), or frontal views of the chest.2 For PA views, the X-ray beam passes through the chest from the back to the front. The patient must stand while this CXR is taken. In AP views, the beam passes through the chest from the front to the back.

 

Portable CXRs should generally be reserved for acutely ill patients and others who can't stand.2 Portable CXRs performed at the patient's bedside are AP views.2,4 A major disadvantage of an AP view is that the structures in the anterior part of the chest, including the heart, look bigger because of magnification. This could lead to an incorrect diagnosis of cardiomegaly.4

 

A lateral view may reveal lesions behind the heart, near the mediastinum, or near the diaphragm. The frontal and lateral views provide a three-dimensional view of the chest and let the clinician localize infiltrates or other lesions that might otherwise be difficult to find.2

 

CXRs should always be taken during maximum inspiration to allow visualization of any pulmonary abnormalities.5 When the patient inspires deeply, the diaphragm should be seen at the segment of the 6th rib anteriorly.6 If 10 posterior ribs can be counted above the diaphragm, it's an excellent inspiratory CXR. If fewer than 10 ribs can be counted above the diaphragm, it's either poor inspiratory effort or a sign of low lung volume.2 The right hemidiaphragm is usually higher than the left because of the location of the liver. Poor inspiratory effort can cause the CXR to appear whiter, with increased lung markings, and can also give a false impression that a lower lobe pneumonia is present.3

  
Figure. Structures o... - Click to enlarge in new windowFigure. Structures of the lung

Penetrating issues

X-rays distinguish objects based on relative densities. The four basic densities on a CXR are bone (or metal), water (soft tissue), fat, and gas (air).2,7

 

* Bone/metal density appears all white, or completely radiopaque, as do bullets, coins, ECG electrodes, and pacemakers.5,8

 

* Water (soft tissue) density looks white to gray on the CXR. The heart, liver, diaphragm, spleen, and blood vessels will also cause this appearance. This is largely because the organs are the same density as water.8 In erect CXRs, fluid can often be seen collecting at the lung bases and appear as dense opacities blocking adjacent structures in the chest cavity.5 This is the most common location of pleural effusions on a CXR.

 

* Fat appears gray. This tissue is less dense than bone/metal but more dense than air and is most often seen in CXRs involving the breasts and fat pads.

 

* Gas (air) density is black, or radiolucent, and is seen on review of the lungs, trachea, bronchi, and alveoli.5 Air tends to rise to the highest point in the chest cavity, so a pneumothorax is most commonly seen at the lung apices when the patient is erect.5

 

 

The penetration of a CXR is affected by the duration of exposure and the power of the beam. A poorly penetrated CXR looks light and soft tissue structures are hard to see, especially those behind the heart. An overpenetrated CXR looks dark and lung markings are hard to see.9 When a CXR has good penetration, the lower thoracic vertebral bodies can be seen through the heart.10

 

Chest X-ray interpretation

Recognizing normal anatomy on the CXR is key to understanding and interpreting abnormalities. Before interpreting a CXR, identify the patient by first and last name and date of birth. Verify that you have the correct X-ray taken on the correct date and identify the view of the CXR.

 

Most facilities now use a digital image instead of photographic film contained in a cassette. These digital images are stored on a picture archiving and communication system (PACS). Images from the PACS can be viewed at any computer workstation, and they can be manipulated to change brightness or magnify images.2

 

Make it a habit to always view the CXR as if the patient is facing you; the right side of the CXR is the patient's left side, and vice versa.2,4

 

Next, determine the quality of the CXR. Is there good penetration? If so, the thoracic vertebral bodies will be visible. Is there good inspiration? Remember to count the ribs. Determine rotation by measuring the distance from the medial end of each clavicle to the spinous process of the vertebrae at the same level. These distances should be equal.4 Anterior structures on a CXR are the right and left heart borders, the ascending aorta, bilateral upper lung lobes, and the middle lobe of the right lung.8 Posterior structures are the descending aorta, hemidiaphragms, and both lower lung lobes.8

 

Review all aspects of the CXR by using the ABCDEF approach.1

 

A: Airway

Always look at the trachea and assess if it's midline or shifted to the right or left. The trachea should be midline but may shift slightly to the right around the aortic notch.8 If the trachea is shifted or deviated, it may indicate improper patient positioning, thyroid enlargement, or a tension pneumothorax.4,6

 

Next, examine the carina (the area where the trachea bifurcates into the right and left bronchi). It should lie between T4 and T6. If the patient is endotracheally intubated, examine the CXR for correct tube placement. The endotracheal tube (ETT) is correctly placed when the tip of the ETT is 3 to 5 cm (approximately 2 in) above the carina.4

 

B: Bones

When looking at the bones on a CXR, pay close attention to the clavicles, ribs, scapulae, and vertebrae, and assess for any fractures. Sometimes turning the CXR on its side can help make rib fractures easier to see.8

 

On a CXR with maximum inspiration, expect to see 9 to 10 posterior ribs.2 In order to tell the difference between anterior and posterior ribs on the CXR, remember that posterior ribs slope downward to form the costovertebral angle. The anterior ribs appear more horizontal.4

 

When reviewing the ribs and other bones, examine the intercostal spaces for symmetry. Remember that each intercostal space is numbered according to the rib above it. Widened intercostal spaces may be associated with hyperinflation of the lungs.2

  
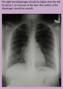
Figure. Visualizing ... - Click to enlarge in new windowFigure. Visualizing the diaphragm

C: Circulation

Examine the heart for normal size and shape. One of the easiest observations to make is the cardiothoracic ratio: the widest horizontal width of the heart compared to the widest width of the thorax.8 The heart should be 50% the size of the thorax. Anything greater than 50% suggests cardiomegaly or a possible pericardial effusion.4

 

Also examine the mediastinum. Its borders should be clear, although some haziness may be present at the angle between the heart and diaphragm.1,8 If the mediastinum appears enlarged, consider disorders that could cause this, such as an aortic aneurysm.5

 

D: Diaphragm

The diaphragm is dome-shaped and has the same density as water. The right hemidiaphragm should be higher than the left because of the liver. (See Visualizing the diaphragm.)The difference should be only about 3 cm. The outline of the diaphragm should be smooth.8

 

Diaphragmatic elevation occurs when fewer than 10 ribs are visible and can be caused by atelectasis, abdominal distension, and phrenic nerve compression.2 Diaphragmatic depression is often present when 11 or 12 ribs are visible. A depressed or flattened diaphragm is often seen in patients who have chronic obstructive pulmonary disease (COPD) or a pneumothorax.1,2

 

Below the left hemidiaphragm, the gastric air bubble is visible. Absence of a gastric bubble could indicate a hiatal hernia.5

  
Table Locating devic... - Click to enlarge in new windowTable Locating devices on a CXR

E: Edges

Inspect the lung borders (edges) for fluid or air collection. Look specifically at the costophrenic angles, which should have well-defined acute angles.8 A pneumothorax, hemothorax, or pleural effusion can distort the normal lung edges or borders.5

 

F: Fields

The lung fields consist mainly of air and very little tissue or blood.2,6 Remember normal lung anatomy, including the location of the lobes, when reviewing CXRs.2 Keep in mind that many patients who are erect or semierect for the CXR and have fluid accumulation will have abnormal fluid accumulation at the lung bases. If the CXR is taken with the patient in supine position, fluid tends to settle in the lower lobes posteriorly.5

 

The lung fields should be of equal density; one shouldn't be lighter or darker than the other on a normal CXR. Remember that the lungs are divided into lobes by fissures. The right lung has three lobes and the left lung has two lobes. Try to find the horizontal fissure of the right lung when looking at the CXR. A fissure is a space between the lung lobes that looks like a narrow white line on a CXR.2 This fissure, which can be difficult to visualize, is seen in 50% to 60% of patients.5,8 It should extend from the right hilum to the 6th rib in the axillary line. The hilum is a triangular area above and behind the cardiac border where the structures that form the root of the lung, such as the pulmonary artery and lymphatic vessels, enter and leave the lung.1 A displaced fissure may indicate pneumothorax.8

 

Once the CXR has been reviewed in a systematic fashion, examine the CXR for devices such as catheters, tubes, drains, or wires. Get into the habit of checking their position. (See Locating devices on a CXR.)

 

Common abnormalities

The following disorders are commonly seen in acute care settings and may be visible on CXRs.

 

Pleural effusions are excess fluid collections in the pleural space. In order for a pleural effusion to be visible on a CXR, approximately 200 to 400 mL must be present. A clue that a pleural effusion is present is blunting of the costophrenic angle.1 A right-sided pleural effusion is often associated with heart failure.5 However, bilateral pleural effusions are present in 70% of patients with congestive heart failure (CHF).9

 

Pulmonary edema is the most common pattern of diffuse lung disease in patients with CHF.1,6 A diffuse lung disease pattern will always involve both lungs but may involve only part of each lung. Acute pulmonary edema is the rapid collection of an abnormal amount of fluid in the alveoli or pulmonary interstitial spaces.1 As the amount of fluid increases in the alveoli, the fluid can cause a butterfly or batwing pattern to appear on the CXR. This pattern causes the central or perihilar area of the lungs to appear white. If this process goes unnoticed and progresses, the image on CXR will look like ground glass.1,2 A ground-glass appearance may indicate overhydration, heart failure, aspiration pneumonia, an infectious process, or even acute respiratory distress syndrome (ARDS).2

 

Kerley B lines can also be seen on a CXR in a patient with pulmonary edema. (See Kerley B lines.) These are thin, horizontal lines of fluid, no more than 2 cm long, which can be seen in the lung periphery near the costrophrenic angles and lateral wall.2

 

Pneumonia can best be found on a CXR when a silhouette sign is revealed. A silhouette sign occurs when two structures of equal density are next to each other but the border of neither structure can be seen. (See Silhouette sign.) The silhouette sign is sometimes used to distinguish anterior from posterior structures on a CXR. The silhouette sign can help the practitioner determine which lung lobe is affected.8 However, pneumonia can also present as a localized infiltrate, opacity, or consolidation.2 These infiltrates can affect any lobe.

 

When attempting to decide which lobe the infiltrate occupies, look for the silhouette sign. When the silhouette sign is seen in the anterior structures, the pneumonia is in the left or right upper lobe of the lung.5 If the silhouette sign obscures the border of the right or left hemidiaphragm, this indicates a lower lobe pneumonia. When the right lower lobe border is lost but the right hemidiaphragm is visible, a right middle lobe pneumonia is present.8

 

Atelectasis causes the alveoli to lose their volume and collapse and may lead to pneumonia. It can be prevented or alleviated by having the patient deep breathe and cough, ambulate, and perform incentive spirometry.2

 

To distinguish between consolidation in pneumonia and consolidation atelectasis, assess lung volume. If lung volume is reduced, the consolidation indicates atelectasis. If not, it may be due to an infiltrate.8

  
Figure. Kerley B lin... - Click to enlarge in new windowFigure. Kerley B lines

Left lower lobe atelectasis, which is very common after surgery, often appears on a CXR as an increase in density.2,4,5 Keep in mind that a lateral view CXR may be needed to confirm atelectasis of a lower lobe.2 When reviewing the CXR, note that in consolidation from atelectasis, the alveolar spaces can become filled with fluid, causing the alveoli to appear white and collapse.

 

Close inspection of a consolidation may reveal an air bronchogram sign. This is a tubular outline of an airway made visible by filling of the surrounding alveoli by fluid or inflammatory exudates. This will cause the airway to appear black against a white background.8

 

Intrinsic obstruction can cause atelectasis and is usually a result of secretions or foreign bodies in the airway. Extrinsic airway obstruction is usually caused by compression, likely from a tumor. The most common lobe to become atelectatic is the right middle lobe, due to the lung being surrounded by lymph node tissue and the slope and length of the bronchial tube.1

 

ARDS is indicated when a normal CXR progresses to one showing bilateral infiltrates, then pulmonary edema. This is likely caused by cellular damage due to an inflammatory response or events such as trauma.4 Fluid-filled alveoli result in alveolar consolidation in the periphery of the lung fields. This tends to happen within a 12-hour time frame after injury to the alveoli-capillary membrane.2,8 Whiteout or ground glass opacities on a CXR may follow peripheral consolidation.4

 

Pneumothorax is caused by air in the pleural space, which can at times be more difficult to find on a CXR than fluid, especially if only a very small amount of air is present. Look for an increase in radiolucency (dark images on the CXR) and a decrease in lung vascular markings.4 The visceral pleura may be displaced from the parietal pleura due to air in the pleural space. If this is the case, a thin white line would represent the displaced visceral pleura.2,5

 

Examine the apex of each lung in detail, as air will always rise while the patient is in an erect position.4 Pneumothoraces can occur spontaneously or be caused by the insertion of central venous access devices, trauma, bleb rupture, or chest compressions during CPR.5

  
Figure. Silhouette s... - Click to enlarge in new windowFigure. Silhouette sign

Tension Pneumothorax occurs when air leaks from the lung into the pleural space and can't escape, increasing intrapleural pressure. This causes the affected lung to collapse and shifts the mediastinum toward the unaffected side.4 The mediastinal shift impairs cardiac filling and can quickly lead to cardiovascular collapse. Usually, mediastinal landmarks such as the trachea, aortic notch, and the right heart border are clearly seen displaced to the unaffected side.8

 

COPD includes emphysema and chronic bronchitis. This type of lung disease causes airway obstruction, air trapping, and increased residual volume.4 A flattened diaphragm associated with hyperinflation of the lung is often the best indicator of COPD on a CXR. You may also notice that the lungs look very black because of vascular destruction. The black appearance of the lung is called hyperlucency.8

 

Hyperinflation of the lungs also cause the lungs to appear larger, darker, and longer.4 It's also important to look for bullae on a CXR of a patient with COPD. These bullae are densely black areas of the lung, usually round and surrounded by fine curvilinear shadows.8 They're usually caused by air trapping.4

 

Other lung disorders

The following disorders, although not as common, are also visible on CXR.

 

Lung nodules are discrete areas of whiteness within the lung field. They're usually less than 3 cm in diameter and can be singular or found in multiples. If a lesion is larger than 3 cm, it's called a mass.5,8

 

The main worry about finding these lesions is the possibility of carcinoma.8 Other possibilities are areas of consolidation, an abscess, or pleural abnormality. Inspect the lesions' edges. A speculated, irregular, or lobulated edge may indicate a malignancy, especially if you see more than one.8 Large masses found in the upper lobes are likely to be malignant.4 Malignant tumors may be associated with mediastinal lymphadenopathy or bone metastasis. If the nodule appears dense and white and appears to be the same density as bone, it's most likely a calcification.4,8

 

Tuberculosis (TB) is seen as patchy, nodular infiltrates on a CXR located primarily on the upper lobe lung fields. Cavitation of the lung, or a darker gray center over a white lesion on the CXR, is also seen with TB. An old and healed TB lesion appears on a CXR as a well-defined, dense nodule with sharp margins.4

 

Perforation of the bowel is seen as free air under the diaphragm on a CXR. Air should never appear in the peritoneal cavity outside the gastrointestinal tract. If air is found in this location, it's called pneumoperitoneum, which is a medical emergency. It can be caused by a ruptured appendix, perforated ulcer, or ruptured diverticulum.4

 

Nursing implications

Nurses can use CXRs as an additional tool to confirm physical assessment findings. Acutely ill patients can have a multitude of nonspecific signs and symptoms. Nurses with a basic understanding of CXR interpretation can sharpen their assessment skills, promote patient safety, and optimize care.

 

REFERENCES

 

1. Tarrac SE. A systematic approach to chest x-ray interpretation in the perianesthesia unit. J Perianesth Nurs. 2009;24(1):41-47. [Context Link]

 

2. Siela D. Chest radiograph evaluation and interpretation. AACN Adv Crit Care. 2008;19(4):444-473. [Context Link]

 

3. International Atomic Energy Agency. Radiation safety. http://www.iaea.org/Publications/Booklets/Radiation/radsafe.html. [Context Link]

 

4. Ku V. A fresh look at chest X-rays. Nurs Crit Care. 2012;7(6):23-29. [Context Link]

 

5. Puddy E, Hill C. Interpretation of the chest radiograph. Contin Educ Anaesth Crit Care Pain. 2007;7(3):71-75. [Context Link]

 

6. Barkley T, Myers C. Practice Guidelines for Acute Care Nurse Practitioners. 2nd ed. St. Louis, MO: Elsevier; 2008. [Context Link]

 

7. Siela D. Using chest radiography in the intensive care unit. Crit Care Nurse. 2002;22(4):18-27. [Context Link]

 

8. Corne J, Pointon K. Chest X-ray Made Easy. 3rd ed. St. Louis, MO: Elsevier; 2010. [Context Link]

 

9. Rull G. Chest X-ray: systematic approach. 2011. http://www.patient.co.uk/doctorChest-Film-(CXR)-Systematic-Approach.htm. [Context Link]

 

10. Dick E. Chest X-rays made easy. Student BMJ. 2000;8:316-317. [Context Link]