Authors

  1. Rosenberg, Karen

Abstract

Trial stopped early because of unexpectedly higher risks associated with stenting.

 

Article Content

Aggressive medical management of intracranial arterial stenosis appears to be superior to percutaneous transluminal angioplasty and stenting (PTAS), according to a recent trial comparing the two approaches.

  
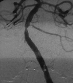
Figure. Cerebral ang... - Click to enlarge in new windowFigure. Cerebral angiogram showing stenosis.

PTAS is increasingly used to treat atherosclerotic intracranial arterial stenosis, a leading cause of stroke, but how it compares with aggressive medical therapy alone in terms of efficacy and safety hasn't been clear. In the Stenting and Aggressive Medical Management for Preventing Recurrent Stroke in Intracranial Stenosis trial, 451 patients with recent transient ischemic attack (TIA) or stroke resulting from 70% to 99% stenosis of a major intracranial artery were randomly assigned to receive aggressive medical management either alone (227 patients) or with PTAS (224 patients). Medical management in both groups included aspirin 325 mg per day, clopidogrel 75 mg per day for 90 days, and management of risk factors. The primary end point was "stroke or death within 30 days after enrollment or after a revascularization procedure for the qualifying lesion during the follow-up period or stroke in the territory of the qualifying artery beyond 30 days." The trial was stopped early because at 30 days, the rate of stroke or death was significantly higher in the PTAS group (14.7%) than in the medical management group (5.8%).

 

"We learned that the risks of stenting greatly exceeded expectations, and the benefits of risk factor management greatly exceeded expectations," said Bethany Lane, a nurse at Emory University's Rollins School of Public Health and project manager for the trial. She cautioned, however, that the "results reflect only the first 30 days of participation for each subject." Beyond 30 days, nonfatal stroke in the territory of the qualifying artery occurred in 13 patients in each group. At one year, the probability of the occurrence of a primary end point event was significantly higher in the PTAS group (20%) than in the medical management group (12%).

 

The study investigators note that the essential components of the aggressive medical regimen used in the trial, such as adding clopidogrel to aspirin for 90 days and lowering blood pressure and low-density lipoprotein cholesterol to target levels based on national guidelines, can be readily adopted in the clinical setting.-Karen Rosenberg

 

REFERENCE

 

Chimowitz MI, et al. N Engl J Med 2011; 365(11):993-1003.